Radiology Image-based Questions for NEET PG
May 20, 2025

Q1. Which among the following statements is true regarding the machine shown below

- Produced by sudden deceleration of moving electrons
- Anode is primarily made up of Lead (Pb)
- The majority of heat dissipation is by convection
- Electron beam travels from anode to the cathode
Ans. 1) Produced by sudden deceleration of moving electrons
Q2. A 45-year-old man presents with sudden headache, confusion, and decreased consciousness following recent cranial surgery. CT image is given below. What is the black area seen in the CT?

- Blood
- Air
- Pus
- Highly vascularised areas
Ans. 2) Air
Also read: Orthostatic Hypotension: Causes and Treatment
Q3. A 25-year-old male who recently joined the radiology department was instructed to wear the device shown in the image. Which of the following statements about this device is incorrect?

- Assess the amount of radiation exposure
- Comprise of thermoluminescent phosphors
- Should be sent for dose monitoring every 3 months
- It is worn over the lead apron
Ans. 4) It is worn over the lead apron
Q4. A medical student is learning to identify anterior and posterior ribs on a PA chest X-ray. Identify the labeled rib shown below:

- 4th Anterior rib
- 4th Posterior rib
- 5th Anterior rib
- 5th Posterior rib
Ans. 4) 5th Posterior rib
Q5. A patient presents to the clinic with the following anomalies of chest and hands.

He has a history of having these anomalies since childhood but has no other symptoms. His chest X-ray shows a left hyperlucent lobe. Which other condition can show a similar chest X-ray picture?
- Atelectasis of the entire lung
- Pulmonary agenesis
- Bullous emphysema
- Large pleural effusion
Ans. 3) Bullous emphysema
Also read: NEET PG Surgery: Key Image-Based MCQs
Q6. A patient is brought to the emergency after a fall from a tree. He developed shortness of breath and chest pain, is tachypneic, and has distended neck veins on examination. His chest X-ray shows as follows:

Which of the following is the correct finding here?
- Ipsilateral deviation of mediastinum
- Contralateral depression of hemidiaphragm
- Collapsed lung
- White-out lung
Ans. 3) Collapsed lung
Q7. A 65-year-old male with a history of COPD presents with a 2-week history of increasing shortness of breath and a persistent cough. On examination, decreased breath sounds are noted on the left, and a chest X-ray is taken, which is shown below. What is the most likely diagnosis?

- Lung abscess
- Pneumothorax
- Pleural effusion
- Hydropneumothorax
Ans. 3) Pleural effusion
Q8. A 75-year-old male patient with a history of congestive heart failure presents with worsening shortness of breath and pleuritic chest pain. A chest X-ray PA view is taken, which is shown below. Which of the following statements about the finding on the chest X-ray is most accurate?

- It is most commonly with effusion occupying the oblique fissure.
- It may be mistaken for a lung mass due to its appearance.
- It will typically require surgical intervention to resolve.
- It is always associated with exudative pleural effusion.
Ans. 2) It may be mistaken for a lung mass due to its appearance.
Also read: Important Radiology Question For NEET PG/FMG Exams
Q9. A 68-year-old male patient presents with cough, fever, and pleuritic chest pain. A contrast CT is taken and shown below. What is the most likely diagnosis for this patient?
- Lobar Pneumonia
- Empyema
- Pleural Effusion
- Lung Abscess
Ans. 2) Empyema
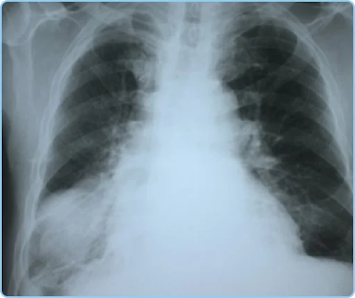
Q10. A 62-year-old male with a history of smoking presents to the emergency department with increased shortness of breath and fever. A chest X-ray is performed, as shown below. Which of the following radiological signs is seen in this case?

- Luftsichel sign
- Flat waist sign
- Golden S sign
- Superior triangle sign
Ans. 3) Golden S sign
Q11. A 30-year-old male presents with fever, cough, night sweats, and unintentional weight loss over the past month. X-ray chest is taken and is shown below. What is the most probable diagnosis?

- Miliary Tuberculosis
- Pulmonary Sarcoidosis
- Mycoplasma Pneumonia
- Metastatic Lung Disease
Ans. 1) Miliary Tuberculosis
Also read: INI-CET High Yield Questions for Radiology
Q12. A 28-year-old male presents with persistent nasal congestion, facial pain exacerbated by bending forward, thick yellow nasal discharge, and reduced olfaction for two weeks. CT imaging reveals abnormalities in the paranasal sinuses. What is the most likely diagnosis?

- Viral rhinitis
- Allergic rhinitis
- Sinusitis
- Nasal polyps
Ans. 3) Sinusitis
Q13. The imaging below shows a double density sign in the paranasal sinuses. What is the most likely diagnosis?

- Acute Bacterial sinusitis
- Carcinoma- Maxillary sinus
- Chronic Bacterial sinusitis
- Allergic fungal sinusitis
Ans. 4) Allergic fungal sinusitis
Q14. Following a fall, a 20 year old male patient developed bleeding from the nose associated with pain and swelling. X-ray done is shown below. What is the most likely injury?

- Cribriform plate fracture
- Chevallet fracture
- Jarjaway fracture
- Deviated nasal septum
Ans. 2) Chevallet fracture
Also read: Lung Cancer: Causes, Types, Symptoms and Risk Factors
Q15. A 30-year-old female presents with right ear bleeding and conductive hearing loss (Rinne negative, Weber lateralized to right following head trauma.CT findings as shown below.What is the most likely diagnosis?

- Longitudinal fracture- Left temporal bone
- Longitudinal fracture- Right temporal bone
- Transverse fracture- Left temporal bone
- Transverse fracture- Right temporal bone
Ans. 2) Longitudinal fracture- Right temporal bone
If you wish to access the detailed explanations for the correct and incorrect options of download the Pdf now.
Download the PrepLadder app now to access high-yield content with 24-hr Free Trial. Explore premium study resources like Video Lectures also in हिंglish, digital notes, QBank, and Mock Tests for a seamless exam preparation. Time to begin your NEET PG coaching online with PrepLadder.

PrepLadder Medical
Get access to all the essential resources required to ace your medical exam Preparation. Stay updated with the latest news and developments in the medical exam, improve your Medical Exam preparation, and turn your dreams into a reality!
Top searching words
The most popular search terms used by aspirants
- NEET PG Radiology
- NEET PG Radiology Preparation
PrepLadder Version X for NEET PG
Avail 24-Hr Free Trial