Essential Medicine Image-based Questions for NEET PG
May 15, 2025

Q1. Match the following murmurs with the respective conditions.
| S.No | Murmur | Condition |
| 1) | a) Mitral Stenosis | |
| 2) | b) Aortic Stenosis | |
| 3) | c) Mitral Regurgitation | |
| 4) | d) Aortic Regurgitation |
- 1-b, 2-d, 3-a, 4-c
- 1-c, 2-a, 3-d, 4-b
- 1-a, 2-c, 3-b, 4-d
- 1-d, 2-b, 3-c, 4-a
Ans. 1) - 1-b, 2-d, 3-a, 4-c
Also read: Esophageal Movement Disorders: A Detailed Clinical Overview
Q2. A 65-year-old man presents with palpitations and lightheadedness. His ECG shows an unequal number of P waves and R waves and his jugular venous pressure (JVP) tracing is shown below. Which of the following conditions is responsible for this finding?

- Atrial fibrillation
- Complete heart block
- Tricuspid stenosis
- Supraventricular tachycardia
Ans. 2) Complete heart block
Q3. A 60-year-old male presents with fatigue and a rapid, low-volume pulse. Chest X-ray is given below. What is the treatment?

- Diuretics
- Pericardiocentesis
- Beta-blockers
- Glyceryl trinitrate
Ans. 1) Diuretics
Q4. A 55 y/o male presents to the ED with severe chest pain radiating to his left arm. His ECG is given below. Based on this information, which of the following changes is most likely present in this ECG?

- Wide QRS complexes
- Saddleback ST elevation
- Coved ST elevation
- Tall T waves
Ans. 3) Coved ST elevation
Also read: Tonometry in Ophthalmology
Q5. A 60-year-old woman with a history of hypertension and diabetes presents with a one-month history of mild exertional dyspnea. She denies chest pain but has noticed some occasional palpitations. Physical examination reveals a blood pressure of 140/90 mmHg and regular heart sounds. You order an ECG, which is shown below.

What is the most likely diagnosis based on this ECG?
- Normal axis
- Right axis deviation
- Left axis deviation
- Extreme axis deviation
Ans. 3) Left axis deviation
Q6. Which among the following is the least likely cause of this finding seen in the X-ray shown below?

- Parathyroid hyperplasia
- Sarcoidosis
- Hungry bone syndrome
- Vitamin D intoxication
Ans. 3) Hungry bone syndrome
Q7. A 35-year-old male presents to the emergency department with red urine (as shown below) for two days and mild flank pain. He has no prior urinary issues and reports no pain or trauma. Urine was sent for repeat analysis, and an ultrasound was recommended. What is the most common cause of hematuria in this case?

- IgA nephropathy
- Glomerulonephritis
- Nephrolithiasis
- Clofazimine
Ans. 3) Nephrolithiasis
Also read: How to Score 150+ in INI-CET-Strategy Backed by Experts
Q8. A 45-year-old male presents with a 3-month history of epigastric discomfort, bloating, and occasional nausea. An endoscopic gastric biopsy specimen reveals the following characteristic organism, as shown below. The patient is diagnosed with chronic gastritis. Which type of gastritis is least likely to be associated with this infection?

- Antral predominant gastritis
- Non-atrophic pangastritis
- Corpus predominant gastritis
- Granulomatous gastritis
Ans. 3) Corpus predominant gastritis
Q9. A 28-year-old woman presents with the finding shown in the image and has a family history of similar lesions. Endoscopy reveals multiple hamartomatous polyps in the small intestine. Based on the clinical presentation, which of the following statements about the most probable condition is incorrect?

a) Typically associated with a mutation in the STK11.
b) Associated with bleeding and intussusception.
c) Associated with alopecia, nail dystrophy, and malabsorption.
d) Low or no risk of malignant transformation.
e) Esophageal webs and glossitis are seen.
- c, d, e
- a, b
- a, c, d
- b, c, d, e
Ans. 1) c, d, e
Q10. A 45-year-old woman presents with persistent hypertension, weight gain, and muscle weakness. Her laboratory results reveal elevated cortisol levels and suppressed ACTH. Imaging studies show an adrenal mass, as shown below. Which of the following layers of the adrenal gland is most likely responsible for the hormone excess in this patient?

- Zona glomerulosa
- Zona fasciculata
- Zona reticularis
- Adrenal medulla
Ans. 2) Zona fasciculata
Also read: Esophageal Movement Disorders: A Detailed Clinical Overview
Q11. A 6-year-old boy is brought to the emergency department after a sudden onset of fever, vomiting, and irritability. The child’s parents report that he had a productive cough and runny nose for the past few days, which seemed to improve before the acute deterioration. On examination, the child appears lethargic and is febrile (39°C or 102.2°F). There is hypotension (blood pressure 85/50 mmHg), and he is tachycardic (heart rate 120 bpm). Physical examination reveals diffuse petechial rashes on the lower extremities and trunk. Laboratory findings show:
- WBC count: 18,000/µL (elevated)
- Blood cultures:

Which laboratory finding is most commonly associated with Waterhouse-Friderichsen syndrome?
- Hypernatremia
- Hypokalemia
- Hyponatremia
- Hyperaldosteronism
Ans. 3) Hyponatremia
Q12. A 35-year-old female presents with palpitations, heat intolerance, and weight loss despite increased appetite over the past 3 months. On examination, she has a diffusely enlarged thyroid gland. A thyroid scan is performed, shown below:
What is the most likely diagnosis?

- Toxic multinodular goiter
- Graves' disease
- Thyroiditis
- Thyroid adenoma
Ans. 2) Graves' disease
Q13. A 55-year-old immunocompromised patient presents with fever, cough, and respiratory distress. A CT scan of the chest reveals a finding, as shown in the image. Which of the following investigations would be the most sensitive to confirm a diagnosis of acute invasive aspergillosis?

- Serum IgE levels
- Sputum culture for bacteria
- Galactomannan antigen test from respiratory samples
- HRCT
Ans. 3) Galactomannan antigen test from respiratory samples
Also read: Important Must-Know Topics in Medicine For NEET PG
Q14. A 38-year-old male patient with a history of HIV arrives at the emergency room with altered mental status. He reports a week-long history of worsening headaches, fever, projectile vomiting, and confusion. His CD4+ count is 78 cells/μL. MRI and CSF microscopy reveal the following findings. What is the most likely diagnosis?


- Progressive Multifocal leukoencephalopathy
- Cryptococcal meningitis
- Cerebral toxoplasmosis
- Primary CNS Lymphoma
Ans. 2) Cryptococcal meningitis
Q15. A 55-year-old man with a history of asthma presents with a persistent cough, fever, and shortness of breath that started three days ago after attending a family gathering. His examination shows a SpO2 of 92% on room air and a respiratory rate of 26 breaths per minute, with the accompanying X-ray. What is the investigation of choice for this condition?

- HRCT chest
- C-reactive protein
- RT-PCR
- Rapid antigen test
Ans. 3) RT-PCR
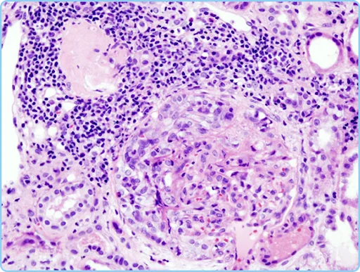
Q16. A 28-year-old female presented to the emergency department with severe fatigue, leg swelling, and decreased urine output following an upper respiratory infection two weeks ago. Urinalysis shows hematuria and proteinuria. The histopathological findings of renal biopsy are shown below. All of the following are associated with Type II of this condition, except,

- Henoch-Schönlein Purpura
- Systemic lupus erythematosus
- Wegener granulomatosis
- Berger’s disease
Ans. 3) Wegener granulomatosis
Also read: Important Topics in Dermatology for NEET-PG
Q17. A 65-year-old woman presents to the clinic for evaluation of resistant hypertension, with blood pressure readings consistently around 170/110 mmHg despite treatment. O/E, the physician notes a bruit over the right flank. Renal imaging shows the finding, as given in the image. What is the most common cause of the condition in this patient?

- Fibromuscular dysplasia
- Atherosclerosis
- Takayasu arteritis
- Thromboembolism
Ans. 2) Atherosclerosis
Q18. A 30-year-old woman presents with resistant hypertension, and imaging studies reveal findings in the renal arteries, as shown in the image. What is the most appropriate management for this patient?

- Medical therapy with CCBs
- Percutaneous renal artery angioplasty
- Statin + Aspirin
- Observation and Low-salt diet
Ans. 2) Percutaneous renal artery angioplasty
Q19. A 62-year-old man with a history of poorly controlled type 2 diabetes presents with fatigue, reduced urine output, and lower extremity edema. Laboratory tests show elevated serum creatinine and 4+ proteinuria. A renal biopsy is conducted to determine the cause. What is the most common histopathological finding in diabetic nephropathy as shown below?

- Armani-Ebstein change
- Focal Segmental Glomerulosclerosis
- Nodular glomerulosclerosis
- Diffuse glomerulosclerosis
Ans. 4) Diffuse glomerulosclerosis
Q20. A 28-year-old female presents to her primary care physician with swelling in her legs and around her eyes that has worsened over the past two weeks. She reports feeling fatigued and experiencing foamy urine. Urinalysis reveals findings, as shown in the image below. Which of the following conditions exhibits similar urine findings?

- Alport disease
- Gaucher’s disease
- Fabry’s disease
- Pompe disease
Ans. 3) Fabry’s disease
Also read: How to Treat Infectious Diseases?
Download the PrepLadder app now and unlock a 24-hour FREE trial of premium high-yield content. Access Smarter Video Lectures also in हिंglish, Game Changing Qbank, Audio QBank, Structured Notes, Treasures, Mock test for FREE to ace your NEET PG preparation. Elevate your study experience and gear up for success. Start your journey with PrepLadder today!

PrepLadder Medical
Get access to all the essential resources required to ace your medical exam Preparation. Stay updated with the latest news and developments in the medical exam, improve your Medical Exam preparation, and turn your dreams into a reality!
Top searching words
The most popular search terms used by aspirants
- NEET PG Medicine
- NEET PG Medicine Preparation
PrepLadder Version X for NEET PG
Avail 24-Hr Free Trial