Last Minute Pathology: Image-Based Revision for INI-CET Toppers
May 6, 2025

Caseous Necrosis

Associated with the high lipid content in the cell walls. There is a cheese-like appearance of the organs. It is the combination of coagulative necrosis (m/c) and liquefactive necrosis. Most common examples include tuberculosis and fungal infections (histoplasmosis and coccidioidomycosis)syphilis, etc.
Barrett's Esophagus

Precancerous adenocarcinoma of the esophagus (cancer)

Also read: Top Mistakes to Avoid While Preparing for INI-CET
Melanin Stain

In the skin, there is a brownish stain around the basal layer (stratum basale) which shows the presence of melanin brown-black pigment.
Stains for Lipids

- The red color stain is called the oil red O.
- The black color stain is called Sudan Black B
- The orange color stain is called Sudan IV.
Also read: Ophthalmology Image-based Questions for NEET PG Preparation
Modified macrophage or epithelioid cell.

The most important cell of granuloma
Herpes Simplex Virus (HSV)
Three M technique of HSV giant cell
- Multinucleated
- Moulding of nuclei
- Margination of the nucleus

Tay Sachs Disease

- Cherry red spots are seen in the Macula of the eye.
- Ballooned neurons(oil red positive as they contain fat)
- On Electron microscopy onion skinning of Lysosome.
Niemann Pick Disease

- Light microscope: Foamy cells
- Electron microscope: Zebra bodies
Also read: ENT Image Based Questions for NEET PG
Gaucher's Disease

Crumpled tissue paper appearance of macrophages.
It has two types:
1. Type 1 (no CNS involvement)
2. Type 2 (CNS involvement—most severe type).
Teratoma

Tuft of hair present, hollow cavity, and Rokitansky protuberance present. Cutting through the Rokitansky protuberance shows whether cancerous cells are present or not, indicating whether the teratoma has malignant tendencies.
Hamartoma

Benign Tumor caused due to abnormality in Chromosome 6. Haphazard Proliferation of native/indigenous tissue. E.g., Pulmonary Hamartoma aka Chondroma
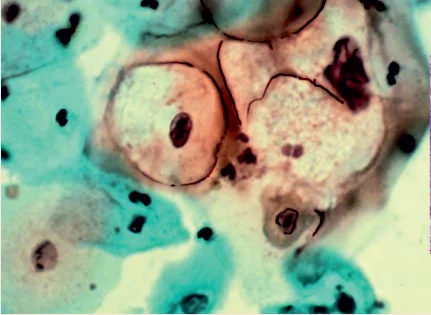
Human papillomavirus

- It causes cervical cancer.
- HPV consists of 2 proteins, E6 and E7.
- The protein E6 will turn off the p53, and the E7 will affect the RB gene.
- Koilocytes are the characteristic cells of HPV.
Also read: Special X- ray Views in Orthopedics
Epstein Barr Virus


EBV surrounds B cell activates CD T cell (forms a cape)—known as ballerina skirt 8
appearance (Downey cell). Infections: Infectious mononucleosis/kissing disease/glandular fever → enlarged salivary glands, lymph nodes, and hepatosplenomegaly.
- Kissing disease - caused by close contacts
- Diagnosis: Paul Bunnell test, monospot test
Perifascicular atrophy

Atrophy of the muscle fibers which are located at the periphery : peri-fascicular atrophy
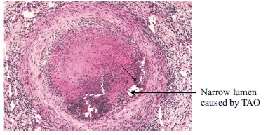
Buerger's Disease

It is also called Thromboangiitis obliterans, Associated with Smoking. Involvement: Artery, veins and nerves. Clinical Presentation: Intermittent Claudication-Pain on exertion (arteries & vein involved) and pain at rest (gradual nerve involvement)
CMV Pneumonia

Owl eye appearance - CMV Pneumonia
Also read: Orthopedics NEET PG Image-Based Preparation
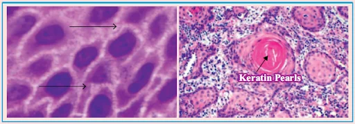
Squamous cell carcinoma

M/E findings:
- Keratin pearls
- Intercellular bridges between sq cells - desmosomes
- IHC
- p40: Best marker
- p63
Small Cell Carcinoma

- Has maximum markers
- Neuroendocrine tumors
- Salt and pepper appearance of chromatin
- Azzopardi Effect: Blue walled blood vessel
Chicken Wire Fibrosis


- ALD shows chicken wire fibrosis.
- Masson Trichrome is used.
- It is seen in Steatohepatitis
To scale up your INI-CET Exam preparation with the best-in-class video lectures, QBank, Mock Tests and more, download the PrepLadder App!
Download PrepLadder's INI-CET preparation app for Android
Download PrepLadder's INI-CET preparation app for iOS

PrepLadder Medical
Get access to all the essential resources required to ace your medical exam Preparation. Stay updated with the latest news and developments in the medical exam, improve your Medical Exam preparation, and turn your dreams into a reality!
Navigate Quickly
Caseous Necrosis
Barrett's Esophagus
Melanin Stain
Hemosiderin
Stains for Lipids
Modified macrophage or epithelioid cell.
Herpes Simplex Virus (HSV)
Tay Sachs Disease
Niemann Pick Disease
Gaucher's Disease
Teratoma
Hamartoma
Human papillomavirus
Human T Cell Leukemia lymphoma virus
Epstein Barr Virus
Perifascicular atrophy
Buerger's Disease
CMV Pneumonia
Squamous cell carcinoma
Small Cell Carcinoma
Chicken Wire Fibrosis
Top searching words
The most popular search terms used by aspirants
- INICET Pathology
- INICET Pathology Preparation
PrepLadder Version X for NEET PG
Avail 24-Hr Free Trial



